第一节 正常脱落细胞形态
一、正常脱落的上皮细胞
正常脱落的上皮细胞主要来自复层扁平上皮和柱状上皮。
(一)复层扁平上皮(鳞状上皮)
鳞状上皮(stratifiedspramous epithelium)覆盖于皮肤、口腔、食道、阴道的全部、子宫颈、喉部、鼻咽的一部分。一般有10余层细胞。从底部至表面分为基底层、中层和表层3部分(图19-1)。






图19-1 复层扁平(鳞状)上皮各层脱落细胞示意图
1.基底层细胞:分为内底层和外底层。一内底层细胞:是上皮的最深层,与基底膜紧接,为单层立方或低柱状细胞,增殖力旺盛,属幼稚的细胞。内底层细胞很少脱落,在淫片中脱落的细胞呈圆形,直径为12-15μm。核圆形或椭圆形,导中或略偏位,直径8-10μm ,染色质均为呈细胞颗粒状,核与胞质比例为1:0.5-1。二是外底层细胞:在内底层细胞之上。涂片中,其体积较内底层大,直径15-30μm .细胞核与内底层相似,染色质略疏松,核与胞质比例为1:1-2。
2.中层细胞:位于鳞状上皮中部,细胞呈圆形、菱形、多角形,直径30-40μm,核较小,核与胞质比例1:2-3。
3.表层细胞:位于上皮的表面,此层细胞扁平。涂片中,细胞呈多角形,直径40-60μm,胞质浆透明,边缘卷褶,细胞核小而深染。表层细胞分为3个亚型:
(1)角化前细胞:细胞直径6-8μm,染色较深,但染色质颗粒遥较细致均匀。核与胞质比例为1:3-5。巴氏染色呈浅蓝或浅绿色。
(2)不全角化细胞:核缩小,深染,呈固缩状小圆形,直径约4μm,核周可见晕。核与胞质比例为1:5或者核更小。巴氏染色呈粉红色。
(3)完全角化细胞:胞核消失,胞质极薄,有皱褶,由于细胞已无生命,故其内有时可见细菌。巴氏染色呈橘黄名杏黄色。
(二)柱状上皮
柱状上皮主要分布于鼻腔、鼻咽、支气管树、胃、肠、子宫颈管、子宫内膜及输卵管部位,组织学分为单层柱状上皮、假复层纤毛柱状上皮和复层柱状上皮3种类型。其脱落细胞在涂片中有下列几种:
1.纤毛柱状上皮细胞细胞为圆锥形,顶端宽平,其表面有密集的纤毛,呈淡红染色。细胞底端细尖似豆芽根。胞质染色近核的上端有一浅色区,相当于电镜下高尔基体。包质位于细胞中下部,呈椭圆形,顺细胞长轴排列,核边薄,染色质颗粒细而均匀,染色较淡,有1-2个核仁核边两侧常与细胞边界重合(彩图3)。
2.粘液梓状上皮细胞:细胞呈卵圆形,椎形或圆形柱形。胞质丰富、因富含粘液,故染色淡而透明。核卵圆形,位于基底部,其大小、染色与纤毛柱状上皮细胞相似。有时见胞质内有巨大粘液空泡,将核挤压至底部,呈月牙形(图19-2)。

图19-2 粘液柱状上皮脱落细胞示意图
3.储备细胞为具有增生能力的幼稚细胞。位于假复层柱状上皮的基底部,胞体较小,呈多角形,圆形或卵圆形。核边清楚,染色质呈细颗粒状,分布均匀。可见核仁胞质少,略嗜碱性。
此外涂片中尚可见中间细胞,呈较短小的梭形,常夹在成排柱状上皮细胞中,属未充分分化的细胞。
(三)脱落的上皮细胞团形态特点
1.成团脱落的鳞状上皮基层细胞呈多角形,大小一致,核一致,距离相等,呈相嵌铺砖状。
2.成团脱落的纤毛柱状上皮细胞常聚集成堆,细胞间界线不清,可见胞核互相堆叠,形成核团,核团周围为胞质融合而成的胞质带。细胞团的边缘有时可见纤毛。
3.成团脱落的粘液柱状上皮细胞团呈蜂窝状结构,胞质内富含粘液,细胞体积较大。
二、脱落上皮细胞的退化变性
细胞从器官内粘膜表面脱落后,由于中断血液供应,缺乏氧气和养料,圆圈上粘膜表面酶作用,很快发生变性直至坏死,称退公变性。浆膜腔的脱落细胞因浸泡在积液中,一般保存较好,倍落细胞在取材时多已无生命,其形态逐渐发生变化。此外若涂片固定不及时、因定不佳或有为挤压均会影响细胞形态而发生退变。一般的涂片,应看支无退变细胞与不同程度退变细胞共同存在,若涂片中完全为严重退变细胞,则应考虑是否为固定不佳或其它有为因素造成,需重新取材涂片。
脱落细胞退变分为肿胀性退变和固缩性退变两类:
1.肿胀性退变:可能与细胞膜能量不足,引起细胞内钠、水潴留和酸度增加有关,表现为细胞内水分明显增加,胞质肿胀,体积可增大2-3倍,细胞界结不清,胞质骨出现液化空泡(图19-3),空泡变大可将胞核挤压至一边,人的空泡不断增加使胞质呈泡沫状。胞核表现为肿胀,染色质颗粒结构不清,出现液化空泡进一步发展核边不清,染色质呈淡蓝支雾状,核体积增大变形,最后胞质完全溶解消失,剩下肿胀的淡蓝染色裸核亦逐渐溶解消失(图19-4)。
2.固缩性退变:可能与细胞器和染色质脱水有关,表现为整个细胞变小,固缩变形。胞质染成红色。胞核染色质致密呈深蓝色,核边皱褶变形或呈致密无结构的深染团块,使胞核与胞质之间形成空隙,称核周晕。最后胞核破裂成碎片或溶解为淡杂的核阴影,称影细胞。

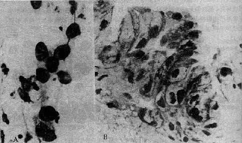
图19-3 退变的脱落细胞
子宫颈鳞癌细胸发生胸质空泡变性,空泡较大,说明细胸倾向于死亡

图19-4 脱落细胞肿胀性退变过程示意图
上 复层扁平上皮基底细胸的变化
下 柱状上皮细胸的变化
箭头示由正常变为轻度直至重度肿胀性退变
脱落的表层鳞状上皮细胞常表现为固缩性退变,有晨胞质内可见异常颗粒或细菌;底层和中层细胞则常表现为肿胀性退变。
脱落的柱状上皮细胞较鳞状上皮更易发生退变。表现为纤毛消失或细胞须横断分离有时需根据残存的终板和锥形外判断为纤毛柱状上皮细胞。
三、非上皮细胞成分
涂片中脱落的非上皮细胞成分又称背景成分。包括血细胞、粘液、坏死物及异特等。
1.红细胞涂片中可见到多少不等的红细胞。因红细胞大小较恒定,可作为测定其他细胞大小的标尺。红细胞量的多少与病变性质或取材时局部损伤程度有关。
2.中性粒细胞涂片中常可见多量中性粒细胞。中性粒细胞易变性,胞质溶解而成裸核。主要见于组织炎症时。此外见于癌组织坏死后继发感染时。
3.嗜酸性粒细胞其存在与炎症、变态反应或寄生虫感染有关。
4.淋巴细胞见于炎症,特别是慢性炎症时较多。
5.浆细胞慢性炎症病灶中多见。
6.巨噬细胞涂片中一般不太多,相当于血液中的单核细胞,有很强的吞噬作用。
7.组织细胞比巨噬细胞略小。核染色较深,呈圆形,位中或偏位,见于炎症时。
8.多核巨细胞:细胞体积大,可含数十个胞核,若在涂片中见到,则要考虑结核病的可能。
9。坏死物:HE染色为红染无结构颗粒状物,淫片中若出现坏死物质,首先应考虑癌的可能,在癌性坏死物中或其周边部常可见到残存固缩的癌细胞核。其次考虑为结核,其坏死彻底,周边部可发现多核巨细胞或上皮样细胞(见第二节肉芽肿性炎症)。
此外淫片中还可见到粘液、细菌团、真菌、植物细胞、染料沉渣和棉花纤维等。
第二节 炎症增生的脱落细胞
本节着重介绍由炎为症引起的一般性病变及增生、再生、化生、核异质的脱落细胞学改变,对与癌细胞鉴别作出正确细胞学诊断是十分重要的。
一、炎症时脱落细胞的一般形态特征
(一)上皮细胞的一般形态变化
上皮细胞在不同的炎症时反应亦不同。急性炎症时,上皮细胞主在表现为退化变性和坏死。慢性炎症时则主要表现炎坟生、再生和化生、并有不同程度的退化变性。
1.鳞状上皮细胞:炎症时基底层和中层细胞的改变较为明显,主要是细胞核的改变,有时细胞形态也有一定程度的改变(图19-5)。
(1)细胞核:核体积增大,比正常细胞核大1倍左右,胆细胞体积不变,所经有轻度的核与胞策比例失常。由于细胞核仍为圆形或卵圆形,染色质颗粒细胞致且分布确均匀,与癌细胞不同。当细胞生长活跃时,细胞核呈轻度异形,不规则,有皱褶,染色质略增多,染色较正常略深,核肥大和异菜是炎症所致细胞增生,生长活跃的表现。此外尚见核固缩、核碎裂等细胞退变和坏死表现。
(2)细胞形态:炎症时,鳞状上皮细胞形态偶尔发生明显变异,如呈蝌蚪状、梭形、星形或不规则形,但胞核改变不蝗显或轻度增大,深染和畸形。此类细胞被称为异形细胞可能是柱状上皮细胞的鳞状化生。涂片中常见到增生的底层细胞和中层细胞团,其细胞核可有轻度畸形,染色略深,但大多数细胞核形态、大小、染色均属正常范围。


图19-5 炎症病变的脱落上皮细胸形态改变示意图
上 炎症病变的鳞状细胸
下 炎症病变的柱状细胸
2.柱状上皮细胞:炎症时,纤毛柱状上皮细胞改变较明显的,常成处开成排脱落,细胞经固缩退变不主。
(1)细胞核:发生固缩性退变,胞核体积缩小,核形轻度不规则,油印变深,有的为正常细胞核的一半大小,此外可见含2个核以上的多核重叠状。
(2)细胞形态:细胞体积缩小,呈小锥形,胞质呈深红染色。
(3.病毒感染所致上皮细胞形态改变,与脱落细胞学检查有关的病毒感染性疾病主要在呼吸道、阴道和泌尿道。巨细胞病毒感染的细胞内出现包涵出现包涵体对细胞学检查有诊断意义。单纯疱疹病毒感染后,上皮细胞核发生明显改变,易被误诊为癌细胞。
(1)单纯疱疹病毒感染:单纯疱疹病毒分为Ⅰ型和Ⅱ型。Ⅰ型主要经口及呼吸道传播,Ⅱ型通过性器官传播,女性生殖器感染好发部位是宫颈和阴道上部,主要累及鳞状上皮,可能与宫颈癌的发生有关,涂片中疾病早期,鳞状细胞核中度至重度肿大,呈弱嗜好碱性,不透明,毛玻璃样,偶见胞质核呈空疱状,有时可见多核巨细胞形成,胞核中心可见嗜酸性包涵体,包涵体周围是亮晕,核边清楚。最后病变细胞发生变性,电镜证实核内包涵全由单纯疱疹病毒颗粒组成,胞质内也可见到核病毒包涵体。
(2)巨细胞病毒感染:主要感染婴儿。全身各主要器官均可受累,常见器官为唾遥、肺、肝、肠、肾、膀胱、脑等。
细胞学检查可见脱落的肺泡上皮细胞、支气管纤毛柱状上皮细胞或肾小管上皮细胞体积增大,直径达20-40μm,胞核或胞质内出现嗜酸性包涵体。核内包涵体体积巨大,直径达8-10μm, 包涵体周围有沉晕。胞质内包涵体体积较小,可含一个或数个,包涵体周围也有亮晕(图19-6)。电镜证实包涵体由巨细胞病毒颗粒组成。

图19-6 巨细胞病毒包涵体
(二)上皮细胞增生、再生、化生时的脱落细胞形态
1.增生(hyperplasia)指非肿瘤性增生,多由慢性炎症或其它理化因素刺激所致上皮细胞分裂每殖增强,数目增多,常伴有细胞体积增大。
涂片中上皮细胞增生共同特点是:①核增大,可见核仁;②胞质内RNA增多,蛋白质合成旺盛,故胞质嗜碱性;③胞质相对校校少,核与胞质比例略大;④核分裂活跃。
(1)鳞状上皮细胞增生:主要是生发层细胞层资助明显增多。涂片中见底层细胞成团脱落。细胞核增大,比正常大0。5-2倍,染色质仍为细胞颗粒状,分布均匀,可峥于少数染色质结块。核与胞质比例略增大,核形态正常,人晨可见双核细胞。增生活跃时细胞核可有轻度至中度不规则。表层细胞成熟正常。
(2)纤毛柱状上皮细胞的增生:涂片中见纤毛西半球状细胞核肥大,染色质颗粒增粗,可见染色质结块,有时可看到双核或多核纤毛柱状上皮细胞,核圆形或卵圆形,有时重叠,染色较深。胞质丰富,嗜伊红染色,游离比值可见于纤毛。储备细胞亦可成团脱落,排列紧密,细胞形态一致呈多角形或圆形,胞质较少。胞质核成圆形,位于胞体中央,大小一致,染色略深(图19-7)。

图19-7 核肥大和多核纤毛柱状细胞示意图
2.再生(regeneration)上皮组织的损伤由邻近健康上皮的生发层细胞分裂增生修复称再生。由于再生上皮细胞未完全成熟,易于脱落,故在涂片中除见再生上皮细胞外,还可见增生活跃的基底层细胞。再生细胞核增大,染色深,见染色质结块,核仁增大增多,或见有丝分裂。胞质略嗜碱性。有时可见双核或多核细胞,此外常伴有不同程度的炎症细胞。
3.化生(metaplasia)在慢性炎症或其它理化因素作用下,柱状上皮的伴备细胞增生,逐渐向呈多边形,胞质丰富的鳞状上皮细胞分化,这种柱状上皮在形态和功能上均转变为鳞状上皮的过程称为鳞状化生。鳞状化生是由基底层开始,逐渐推向表面,所经有时表面尚残存部分原来的成熟柱状上皮细胞,常见于鼻腔、鼻咽、支气管、子宫颈等部位。
不成熟的鳞状化生上皮细胞形态与基底层细胞和棘层细胞间的过渡细胞相似,细胞排列紧密,胞质少,呈红染,无细胞间桥。完全成熟的鳞状的化生上皮细胞与正常鳞状上皮细胞难以区别。(图19-8)


图19-8 假复层纤毛柱状上皮鳞状化生过程示意图
①假复层纤毛柱状上皮,部分表面柱状细胞已坏死脱落,未发生鳞状化生
②储备细胞增生,表层细胞呈多边形倾向,形成幼稚鳞状上皮,即早期鳞状化生
③储备细胞继续增生,表层细胞发展成为多边形,形成较成熟的鳞状上皮
④表层细胸呈大多边形,具有成熟鳞状细胞特征(成熟的鳞状化生)
涂片中,鳞状化生细胞体积与外底层细胞相似,呈圆形,卵圆形或多边形。成排或成团脱落的细胞排列紧密,细胞边界清楚,有时细胞间有空隙,见桥样突起,胞质量中等,戏染。胞核位于中央,圆形或卵圆形,常见染色质结块,有晨见核仁。核浆比例为1:1-2。有时在鳞状化生细胞团边比值附有少量柱状上皮细胞,且可见少量纤毛。因此生部痊常伴有慢性炎症,故涂片中常常可见各种类型炎症细胞。
若鳞状化生细胞胞核体积增大,大小、形态异常、核染色抟增粗,染色变深,则表明要化生基础是发生了核异质称为异型化生或不典型化生。
(三)各类型炎症的脱落细胞特征
炎症可分为包性、亚急性、慢性和肉芽肿性炎症四种类型。前三种是按炎症疾病的病程分类;后者则由特殊病原引起,其局部由具很强吞噬能力的巨噬细胞组成,常呈慢性经过。
1.急性炎症:淫片中见上皮细胞常有明显退变,有较多坏死细胞碎屑、中性粒细胞和巨噬细胞。巨噬细胞胞质内吞噬有坏死细胞碎屑,此外还可见红染无结构、呈网状或团块状的纤维素。
2.亚急性炎症:淫片中除退变上此细胞和坏死细胞碎屑外,尚见增生的上皮细胞。中性粒细胞、单核细胞、淋巴细胞及嗜酸粒细胞常同时存在。
3.慢性炎症:淫片中较多成团的增生上皮细胞。炎症细胞则以淋巴细胞或浆细胞为主。变性、坏死的细胞成减少。
4.肉芽肿性炎症:单纯从细胞学角度诊断肉芽肿性炎症比罚因难,除非在少片中找到特殊病原体。结核病是最常见的肉芽肿性炎症,以形成结核结节为特征。组织学上结核结节由类上皮细胞、朗罕巨细胞和淋巴细胞组成,中央常发生干酪样坏死,涂片中可见台下成分:
(1)类上皮细胞:由组织细胞吞噬结核杆菌后变形而成,细胞呈梭形或多边形,直径约15-25μm胞质丰富染淡红色,细胞边界不清。核圆形、卵圆形,更常见的是核变狭长,呈黄瓜或鞋底状,两端钝圆,核边薄,染色质疏松呈细颗粒状,有1-2个核仁。类上皮细胞成堆区伴有干酪样坏死时,更具有诊断意义。
(2)朗汉斯巨细胞:是由多个类上此细胞融合而成。该细胞体积大,可达200-300μm 呈圆形或不规则形,内有十几个到几十个细胞核,常排列在细胞周边部,呈环形或马蹄形。朗汉斯巨细胞的胞质染色性质主其每个胞核的大小,形态、染色性质均与类上皮细胞相似(彩图4)。单纯靠朗汉斯巨细胞来诊断结核不可靠,必须同时见于类上皮细胞和干醣酪样坏死才具有诊断意义。
(3)干酪样坏死:坏死较彻底,呈红染无结构的颗粒状物,在红染无结构坏死的背景上难以托到细胞碎片,在干酪样坏死附近期中伴有类上皮细胞,则更支持结核的诊断。
恶性肿瘤常发生凝固性坏死,因此作细胞学诊断时应与其鉴别。
(4)其它细胞:结核病涂片中还有较多的淋巴细胞及单核细胞。
二、核异质和角化不良的脱落细胞形态
(一)核异质
核异质(dyskaryosis)是指脱落的细胞的核异常,表现为核的大小、形态及染色质的分布异常,核边增厚,核的边界不整齐,胆胞质的质和量的分化正常,核异质细胞形态介于良性和恶性细胞之间,相当于病理组织学的不典型增生,根据核异质细胞形态改变的程度,分为轻度和重度核异质。
1.轻度核异质细胞:常是慢性炎症等刺激所致又称炎性核异质,多数在外因去除后仍可恢复正常,少数发展为重度核异质。轻度核异质多见于鳞状上皮的中、表层细胞。细胞核轻度增大,其体积比正常大约关倍。核染色质轻度增粗,染色加深,有时至中度畸形,但仍有适度的胞质,菲薄透明,嗜好酸性,可见核周空晕等,与正常鳞状上皮中、表层细胞胞质相似,故又称为成熟的核异质。
炎性增生细胞与轻度核异质细胞的区别为炎性增生的上皮细胞核增大,但染色质仍呈细颗粒状,分布均匀,无当然加深及畸形。只有在炎症刺激较强,细胞增生活跃时才出现轻度的核异质。
2.重度核异质细胞:也可以由慢性炎症引起部分可发展为癌细胞,故又称癌前核质。细胞核体积比正常大1-2倍。染色质呈粗颗粒或粗网状,偶见染色质结块,分布略有均。核边增厚,胞核有中度以上。偶见核仁增大、增多。胞质与正常细胞无大区别,核与胞质比例轻度增大。重度核异质又称不成熟核异质。
重度核异质与癌细胞的鉴别要点为重度核异质细胞虽有胞核的异型性,但其大小,染色及形态谈化均未过到恶性肿瘤细胞标准,特别是核与胞质比例仍无明显的改变。
涂片中出现轻度核异质多见于慢性炎症刺激所致重度核异质见于癌前期病变及原位癌,或浸润癌的癌旁细胞。
(二)角化不良
角化不良又称异常角化(dyskeratosis)细胞内角化或不成熟角化。系指鳞状上皮非角化层,即表面角化前细胞和中、底层细胞出现一些个别散在的胞质内角化细胞。
少片中角化不良细胞核深染色,呈圆形或不规则形。胞浆深红色,巴氏染色呈橘黄煞费苦心。角化不良细胞出现在中、底层细胞时,有人认为可能是癌前病变的表现,故亦称癌前角化。老年期和更年期妇女阴道涂片中发现角化不良的细胞时应予重视,要定期复查,因暗示有癌变的可能。
第三节 肿瘤脱落细胞的形态特征
脱落细胞学主要是研究恶性肿瘤细胞的异型性,根据细胞的异型性作出正确的判断。但是任何一种异型性表现都不能作为绝对批征,必须综合判断,并以淫片中背景细胞作为照比较,慎重下结论。
一、恶性肿瘤细胞的一般形态特征
(一)恶性肿瘤细胞核异型性表现
1.在增大基础是可见胞核大小有等和极性消失。
2.染色质分布不均,呈结块样,其形状不规则或有角着突起,在染色质结块与染色质颗粒之间有空隙。染色质呈不规则聚集核膜下,使核边不规则增厚。有的胞核深蓝染呈墨水点状。
3.恶性肿瘤细胞核形不规则,可呈方形、长形、三角形、有时核凹陷使其成为有规则分叶状。
4.核与胞质比例失常:是恶性肿瘤细胞重要形态特下,如鳞状细胞癌。癌细胞核与胞质比例达1:0.5或0.5以下(正常鳞状是皮是0.5:1或1以上)。
5.核仁增大数目增多,核仁产生RRNA与蛋白质合成有关,由于癌细胞生长快,故核仁明显增大,直径达5μm以上,且数目增多,右有2-3个核仁。
6.核分裂增多及病理性核分裂涂片中可见有丝分裂像和病理发一核分裂像,如不均匀等二级、三级、多极、不规则及环状核分裂等,与多倍体或非整倍体有关(图19-9)。
7.瘤巨细胞和多核巨细胞
8.裸核肿瘤细胞分化差,易退变致胞质先溶解,形成癌性裸核,如果裸核结构精楚,仍可诊断;如果高度变性,呈淡蓝染色雾状则无诊断价值。












图19-9 正常及病理性有丝分裂示意图
(二)恶性肿瘤细胞质异型性表现
细胞质的多少,形态及特征性分化反映了肿瘤细胞的分化程度和恶性程度。
1.高分化恶性肿瘤:胞质丰富骨有特征性分化,例如鳞状细胞癌,癌细胞胞质丰富可出现圆形,梭形、纤维形和蝌蚪形癌细胞。其特征分化表现为鳞癌细胞胸质骨角化物,呈深红染色;腺癌细胞胞质内有分泌空泡,横纹肌肉瘤瘤细胞质内出现横纹等。
2.低分化恶性肿瘤:肿瘤细胞分化愈差,其胞质愈少,电镜下细胞器内质网。线粒体、高尔复合体、中心体愈少。
3.恶性肿瘤细胞胞质:呈嗜酸碱性染色即红中带蓝,全深染色这是由于癌细胞繁殖迅速,合成自身蛋白质较多,致甩质呈深红色;又由于合成蛋白质时核蛋白体增多,故胞质为嗜碱性略呈蓝色。
4.肿瘤细胞胞质内有时可见吞噬的异物,如红细胞、细胞碎片等。有时见癌细胞胞质内含有另一胩癌细胞,称封入细胞。
(三)癌细胞团
上皮细胞组织发生的恶性肿瘤称为癌,它具有上皮组织特点,即成巢向。涂片中除见单个散在癌细胞外,尚见成团脱落的癌细胞。癌细胞团中,细胞形态、大小不等,排列紊乱,失去极性。由于癌细胞迅速繁殖,互相挤压,可呈镶嵌或堆叠状。
间叶组织发生的恶生肿瘤称肉瘤。涂片中肿瘤细胞相对一致,散在分布,无成巢倾向如恶性淋巴瘤。
(四)涂片中背景成分
涂片中常见较多坏死碎屑及红细胞,因恶性肿瘤易发生出血坏死之故,在此背暗淡中可找到肿瘤细胞。若有继发性感染,尚可发现多少不等的中性粒细胞。
(五)恶性肿瘤细胞与核异质细胞的鉴别
表19-1 恶性肿瘤细胞与核异质细胞鉴别要点
| 细胞结构 | 恶性肿瘤细胞 | 核异质细胞 |
| 核与胞质比例 | 显著增大 | 轻至中度增大 |
| 染色质结构 | 不规则肖颗粒或结块状,其间有透明间隙,有时呈墨水点状 | 少数染色质结块,多呈细颗粒状,无墨水点状改变 |
| 核边 | 明显增厚,且厚薄不均 | 轻度增厚 |
| 核大小不一,核畸形 | 显著 | 轻至中度 |
| 核仁 | 有时巨大达4μm以上,可多个 | 轻并增大,1-2个 |
| 病理性核分裂 | 有 | 无 |
| 胞质 | 细胞大小有等,形态不一,胞质嗜碱染色 | 胞质的质与量尚正常 |
二、三种常见类型癌细胞形态特征
癌是最常见的恶性肿瘤,病理上分为鳞状细胞癌,腺癌和未分煞费苦心闾一个主要类型,多数涂片中根据癌细胞形态可以分型,在癌细胞公化差或涂片中癌细胞很少,则分型困难,右列为分类不明或未分类。
(一)鳞状细胞癌
鳞状细胞癌(squamous carinoma)来源于鳞状上皮或柱状上皮鳞状化生后癌变。涂片中鳞癌可分为分化较好和分化差两亚型(图19-10)。
1.分化较好的鳞癌细胞涂片中以相当于表层的癌细胞为主。多数癌细胞胞浆内有角化,染鲜红色,胞质丰富呈多角形,细胞似鳞状皮表层形态。成团脱落的癌细胞互相嵌合,细胞间边界较清楚。胞核粗糙而深染色,核仁不明显。分化较好的鳞癌常见下列特征性形态:①胞体一端膨大,一端细长,形似蝌蚪,胞质常有角化理特征性形态;②纤维状癌细胞胞体细长,含一个细长深染胞核,居中或略居中;③癌珠又称癌性角化珠其中心有一具圆形癌细胞,周围由梭形癌细胞呈洋葱皮样包绕,胞质角化呈鲜红染。胞核浓染,畸形。
2.分化差的鳞癌细胞:涂片中只见相当于中层和底层的癌细胞,多为圆珙或不规则形,散在或成团分布。成团脱落的癌细胞呈堆叠状,胞质较少。嗜碱性染色。胞核居中,畸形染色质呈粗颗粒状,分布不均,有时可见核仁(彩图7)。

图19-10 鳞癌组织学与细胞学对照示意图
本图组织学为鳞癌1~2级,其中分化好的癌细胞较多,分化差的只见于底部
(若为3级则大多数为分化差的癌细胞)
(二)腺癌
涂片中腺癌(adenocarcinoma)分为分化较好的和分化差两种亚型。
1.分化较好的腺癌细胞:癌细胞体积较大,呈圆形、卵圆形、成排脱落者可呈不规则的柱状。胞质丰富略嗜碱染色,。胞质内可见粘液空泡,呈透明的空泡状,有的空泡很大,核被挤压在一边呈半月状,称为印戒细胞。有时在胞质内见到圆形细胞围腺样结构。癌细胞核为圆形或卵圆形、略畸形,染色质丰富,略深染,呈粗块或粗网状,核边不规则增进取,常见1-2个增大核仁直径是可达3-5μm。胞质核常偏于癌细胞的一侧(彩图8,9)。
2.分化差的腺癌细胞:癌细胞体积较小,胞质少,嗜碱性染色,少数癌细胞胞质内可见细小的透明的粘液空泡。胞核呈圆形,半月形或不规则形等,畸形明显。染色质明显增多,呈粗块或粗网状,分成不均,核边增厚,可见明显核仁。成团脱落畜产品细胞胞质界不清,胞核位于细胞团边缘,致边缘细胞隆起,使整个癌细胞团呈桑椹状(彩图10)。
(三)未分化癌
未分化癌(undifferentiated carcinoma)是各种上皮组织发生的分化极差的癌。从形态上难以确定其组织来源。
1.大细胞型未分化癌涂片中癌细胞单个存在或集合成团。癌细胞体积较大,呈不规则圆形,卵圆形或长形,胞质嗜碱性染色,胞核较大,呈不明显,染色质增多,呈粗网状或粗颗粒状深染色。有的可见较大核仁。
2.小细胞型未分化癌涂片中癌细胞体积小,呈不规则小圆形,卵圆形,胞质少,核与胞质比例很大,似裸核样,略呈嗜碱性染色。成团脱钞癌细胞间界线不清,易发生凝固性坏死,呈红染色无结构颗粒状,其间残存散在异型性明显的癌细胞胞核,胞核体积小,比正常淋巴细胞核大0.5-1倍,为不规则圆形、卵圆形、瓜子形或燕麦形,畸形明显,染色极深呈墨水点状,成排或成堆脱落的癌细胞,胞核互相挤压成石榴籽镶嵌状结构(图19-11)。

图19-11 小细胞型未分化癌的组织学与细胞学
放疗的是治疗癌症的重要方法之一,受照射部位的癌细胞和其周围正常细胞均会受射线影响而发生形态改变。了解这些改变对明确是否复发非常必要。放射治疗后的细胞损害表现为分裂间期杀伤。丝状分裂期延迟或抑制染色体畸变和基因改变等四方面;细胞核增大、空泡变性、核碎裂和核溶解;细胞质内细胞器空泡变,溶酶体破坏释放蛋白水解酶,使细胞自溶。
(一)良性上皮细胞的放射性损伤
1.急性放射性改变
(1)细胞体积增大,可增大一倍以上,增大原因被认为是细胞内蛋白质变性胶体渗透透压改变,吸收水分,使细胞内水分增多所致加外各种细胞器退化,由于细胞体积增大,胞质膨胀而向薄弱处外突,致其变形,呈不规则形或蝌蚪形。胆核与胞质比例不大。
(2)核边增厚,核空泡变,胞质核染色质同质化,呈淡蓝云雾状染色,有空泡形成,染色质被推向核边,使核边增厚,最后核碎裂溶解,可见中性粒细胞侵入胞质内。
(3)放射作用影响细胞有丝分裂过程,使之形成多核或分叶核等畸形核。
2.上皮细胞持续性放射改变由于放疗后上皮细胞的改变持续时间较长,此时急性放射改变多已不复存在,涂片中可发现核异质细胞,所示胞核增大,染色质呈粗颗粒状,核深染,有时可见核内空泡(图19-12)。胞质呈多色性,有的细胞呈纤维或蝌蚪形。这类核异质细胞需与高分化鳞癌的纤维形或蝌蚪形癌细胞鉴别,其鉴别点为纤维形核异质细胞核虽深染色,有核形不整,但胞核与胞质比例仍在正常范围或略大,其纤维形或蝌蚪形细胞体亦不如癌细胞大。

图19-12 放射治疗后的核异质
子宫颈内膜放疗后6个月的反应,见核增大,有一定程度的染色过深和染色质粗糙
A细胞学涂片 B细胞切片×560
(二)癌细胞的放疗后改变
癌细胞在放疗后主要为持续性改变,表现为胞质和胞核内空泡形成 ,核仁增大,也可呈空泡变性,继之出现胞质同质化,呈淡蓝云雾状,核碎裂和溶解。致癌细胞坏死,呈红染色颗粒状。
(三)放射敏感性、放疗反应和敏感反应
1.放射敏感性不同组织细胞对放射后损伤的程度不同,损伤大者为敏感性高,一般是分化愈差,癌细胞的放射敏感性愈高,高度敏感者的精原细胞癌、甲状腺癌、恶性淋巴瘤、基底细胞癌等;中度敏感者有鳞癌;低度敏感者有各种上腺癌;敏感性最低的为纤维肉瘤、骨肉瘤、恶性黑色素瘤等。
2.放疗反应:放疗以后若有放射后改变的细胞达75%以上,属放疗反应良好,反应患者对放疗敏感,预后亦较好;若有改变的细胞在65%以下,则属放疗反应差,预后较差。
3.敏感反应:放疗后宫颈淫片中出现外底层鳞状上皮细胞胞质致密,嗜天青染色,空泡较多,空泡周围有极细胞红染颗粒时,反映宿主细胞对放射敏感。这种特殊形态细胞占外底层细胞的10%以上者为“敏感反应好”。
全部讨论(0)
请在登录后参与讨论...