影像学检查对女性生殖系统的诊断有一定的价值。生殖器官的X线造影可以了解子宫和输卵管的情况,为某些炎症和肿瘤的诊断提供依据。泌尿系统和消化系统的X线造影检查对女性生殖系统疾病的诊断也有间接的帮助。
由于性腺和胎儿对X线的辐射作用很敏感,因而对生殖系统X线检查更应慎重。尤其对胎儿,愈早龄的胎儿对X线愈敏感,甚至一次小量的照射都可引起发育畸形,而应避免使用。
USG在妇产科方面的应用有很大发展,特别在胎儿和妇科肿瘤方面更为突出,已为首选检查方法。CT和MRI诊断也有相当价值。
第一节 X线诊断
一、X线检查方法与正常表现
(一)骨盆平片 除能了解骨盆的形状、大小、有无畸形及骨质病变外,还能发现生殖器官病变的异常钙化,如结核、卵巢肿瘤和子宫肌瘤的钙化。
(二)子宫输卵管造影 子宫输卵管造影(hystero-salpingography)是经宫颈口注入40%碘化油、碘苯酯或有机碘水剂以显示子宫和输卵管内腔的一种检查方法。主要用于观察输卵管是否通畅,子宫有无畸形等。个别患者造影后可变为通畅。对于多次刮宫后引起的宫腔内粘连,造影还有分离粘连作用。临床上主要是寻找不孕症的原因,也用于各种绝育措施后观察输卵管情况。如需要将输卵管再接通,术前需作造影。在有生殖器官急炎症,月经期、子宫出血和妊娠期禁用。
正常造影子宫腔呈倒置三角形,底边在上,为子宫底,下端与子宫颈管相连。宫腔上部两侧为子宫角,与输卵管相通。两侧壁和宫底光滑整齐。子宫颈管呈长柱形,边缘呈羽毛状。两侧输卵管自子宫角向外并稍向下走行,呈迂曲柔软的线条状影。输卵管近子宫的一段细而直,为峡部。其远端较粗大,为壶腹部;壶腹部未端呈漏斗状扩大,为输卵管的伞端(图4-5-1)。如果输卵管通畅,造影剂可进入腹腔,分布于肠管之间以及子宫直肠窝和子宫膀胱窝内,呈多数弧形和波浪形条纹影。

图4-5-1 正常子宫输卵管造影
(三)盆腔动脉造影 经皮穿刺股动脉插管,将导管端置于腹主动脉分叉处或髂内动脉进行造影,可显示髂内动脉及子宫动脉。置于肾动脉稍下方进行造影,可显示卵巢动脉。本法主要用于:①生殖器官的血管性疾病如动脉瘤和血管畸形等;②经导管作局部治疗,如注血管收缩药止血,注抗癌药和(或)栓塞治疗肿瘤等;③确定盆腔肿块的血供、来源和性质。
二、妇科疾病X线表现与诊断
(一)先天性异常 子宫、输卵管造影易于观察子宫、输卵管的各种先天畸形,如双子宫、双宫颈、双角子宫、纵隔子宫、半隔子宫、鞍状子宫、单角子宫和子宫发育不良等(图4-5-2)。






图4-5-2 子宫先天性畸形
(二)女性生殖系统炎症 常见者为以下两类。
1.子宫、输卵管结核 多为双侧性,首先累及输卵管,由伞端到壶腹部,逐步蔓延到子宫和子宫颈。
子宫输卵管造影可见宫腔边缘不规则,严重时可见子宫狭小、变形。可有锯齿状小龛影。宫颈管变僵直,边缘不整。输卵管狭窄、变细、僵直、边缘不规则,管腔可有局限性狭窄与憩室状突出相间。由于多数溃疡形成的小瘘道,形如植物的根须状,是结核的重要征象(图4-5-3)。输卵管可以发生完全闭塞,闭塞端圆钝,其近端可有局限性花蕾状膨大,但很少形成囊状积水。

图4-5-3 子宫输卵管结核
右侧输卵管近端闭塞(↓),左侧输卵管壶腹部
扩大,伞端不通(↓),子宫腔小,轮廓不整
2.慢性输卵管炎 多为双侧性。炎症易于造成伞端或输卵管腔内粘连,使输卵管不通。阻塞近侧输卵管扩大,并可形成输卵管积水(hydrosalpinx),可粗如拇指。如碘化油进入积水的输卵管内,则显示为多数油珠集合在一起。这种改变是非结核性炎症的重要征象。有时炎症主要在伞端附近和盆腔,输卵管只有轻微的改变,但碘化油不能顺畅地通过伞端并在腹腔内自由弥散,而是堆积在伞端附近。
(三)女性生殖系统肿瘤 女性生殖系统肿瘤,X线诊断价值有限。
1.卵巢畸胎瘤(ovarianteratoma)约一半病例可显示骨和牙影,根据这些征象可作出诊断。巨大的卵巢囊肿有时可占满全腹,需与腹水鉴别。卵巢囊肿时肠曲被推向上腹部,在囊肿区见不到肠曲,肠管下缘形成一个弧形压迹;而当腹水时,则肠管,分散浮动,可布满全腹,且有很大的活动度。
2.子宫肌瘤(myomaof uterus)可以发生钙化,X线平片能显示。血管造影可见子宫动脉增粗、增多,或有推移与变直,有时在肌瘤之中出现螺旋状病理性血管。
(四)子宫内膜粘连 多次刮宫可引起子宫内膜粘连,较常见。临床表现主要为月经减少和不孕。子宫输卵管造影可见子宫缩小且变形,内腔形状不规则或出现小的充盈缺损,输卵管多正常。依此,并结合多次刮宫史,可作出诊断。
三、产科疾病X线表现与诊断
关于妊娠、胎儿异常、死胎以及前置胎前等诊断,USG明显优于X线检查,是首选的方法。
(一)妊娠与胎儿 X线检查对妊娠和胎儿的诊断虽有一定帮助,但由于射线影响,应避免使用。
X线检查可以了解胎式与胎位,是否多胎、以及胎儿是否死亡。
死胎的X线表现为:①颅盖骨重叠嵌合,甚至完全塌陷变形;②脊柱明显屈曲。整个胎儿可蜷成球形;③胎儿体内出现气体;④由于头皮下脂肪层与颅骨分离,在颅骨周围出现一圈透明晕环;⑤胎儿明显小于妊娠月份应有的大小。
石胎是由于腹腔内妊娠胎儿死亡,和期存留后胎儿和胎盘发生钙盐沉着所致。X线平片表现为大块高密度的类似结石的影像,并保留死胎的某些征象。
胎儿畸形造成骨骼改变者,可由X线检查发现。无脑儿X线表现为颅盖骨缺如,只见一堆致密的颅底骨和颜面骨。脑积水的X线表现为胎儿头颅过大,颅缝过宽,颅壁薄,而颜面骨相对小。
(二)前置胎盘 前置胎盘X线检查用腹部站侧位软组织摄影,如胎头已入盆。可排除前置胎盘。正常时,胎头与骶骨岬和胎头与耻骨联合的距离基本相等。如有不称,应怀疑有前置胎盘。
四、节育环的X线检查
子宫腔内放置节育器是简便有效的避孕方法,在我国已普遍应用。目前常用的节育器是金属制成或含有金属成分的节育环,易为X线所查出。X线检查可确定节育环的位置和形状,判断有无异常情况,从而保证避孕效果。有些节育环由塑料或硅橡胶制成,有多种形状,视其中是否含有金属成分或是否带金属物而决定其是否能由X线查出。
一般可透视即可,需缩小光圈,压紧下腹部。节育环可显示清楚。卧位比立位易于见到,因为卧时下腹部较平坦,如有可疑应摄影。
子宫在盆腔内的位置并非固定,而且子宫本身常有不同程度的前倾、后倾或倾斜,因而节育环的正常位置和形状也有较大差异。
在立位检查,一般节育环位于耻骨联合上方2~6cm,中线两旁3cm范围之内。少数人,环的下缘与耻骨联合上缘相重或在耻骨上10cm亦属正常。环中心在耻骨联合上6cm者称高位环。节育环的形状大多呈圆形或椭圆形。子宫前倾或后倾较显著,使环呈椭圆形,极度前倾或后倾可使环呈横线形。立位和卧位检查时,节育的位置可以有0.5~4cm的变动。
节育环超过耻骨联合上6cm应考虑环有穿过子宫进入腹腔的可能。环的位置过低,例如环在耻骨联合以下,要考虑环已落入宫颈管或阴道内。如果环呈纵位椭圆形且与耻骨联合重迭,表示环在宫颈管内。环呈∞字形或三角形属异常形状,多系宫腔过小或不对称以致节育环不能充分弹开,扭曲变形所致。这种形状的环常为节育环脱落先兆。
节育环可能离开宫腔而进入腹腔,可能由于子宫的压力使环经过宫壁肌肉间隙而穿入腹腔,这个过程可以很慢而不出现临床症状。也可能由于手术器械损伤,环在子宫收缩时经缺损区进入腹腔。环进入腹腔的特点是远离子宫的正常位置,活动范围大,可达骨盆边缘或骶髂关节下方,环的形状也变化较大,如呈长血长条形,半月形等。如普通透视难于确定环是否离开宫腔,可放置宫腔探针后透视,观察环与探针的关系而判定环的位置。必要时可作子宫输卵管造影以明确环与宫腔的关系。
第二节 USG诊断
USG在妇产科应用广泛,尤其在产科更有独特价值,为影像诊断的首选方法。
一、USG检查方法与正常表现
(一)检查方法 妇科疾病USG检查中多用扇形扫描仪。频率多为3.5MHz或5.0HMz。
多用经腹壁直接探查,为了避免肠内容物,尤其是气体的干扰,检查前应饮水使膀胱适度充盈,以推开肠管,使子宫图像清晰。对盆腔后壁的肿块,需于直肠内放置水囊后检查,使子宫和病灶的边界轮廓及内部回声显示清楚。还有专用阴道探头行直接探查法,子宫输卵管声学造影法是利用2%双氧水在宫腔和输卵管内产生的微气泡,在声象图上呈明显强回声,以识别造影剂到达的部位,借以鉴别肿块与子宫的关系和了解输卵管通畅情况。经阴道内腔USG对子宫内膜病变及微小肿块有良好的显示能力,更具有临床诊断价值。彩色多普勒血流显像,则可增加对子宫和卵巢病变的血流信息,有助于定性断。
(二)正常表现
1.子宫 纵向扫描时,前倾或水平位子宫纵断面一般呈倒置梨形,子宫体为实质性均质结构,轮廓光滑清晰,内部回呈均匀的中等强度,宫腔呈线状强回声,其周围有低回声的内膜围绕,依月经周期内膜的改变宫腔回声有所不同。宫颈回声较宫体稍强,且致密,常可见带状的宫颈管强回声。阴道部前后穹窿间常可呈圆形低回声。横断面子宫近宫底角部呈三角形,体部侧呈椭圆形,其中心部尚可见宫腔强回声(图1-4-3)。后倾子宫纵断面的形状呈球形,且多呈低回声,子宫内膜回声常难以显示。正常子宫的大小,常因不同的发育阶段,未产妇与产妇和体型而有差异,不同发育阶段的妇女正常子宫测值表4-5-1。
青春期子宫体长约与子宫颈等长,生育期子宫体长约为子宫颈的一倍,老年期又成为1:1。
表4-5-1 不同发育阶段妇女正常子宫USG测直
| 纵径(cm) | 前后径(cm) | 横径(cm) | |
| 青春前期 | 2.0~3.3 | 0.5~1.0 | 5.0~1.0 |
| 青春后期 | 5.5~7.5 | 3.0~4.0 | 4.5~5.5 |
| 绝经期 | 3.5~6.5 | 1.2~1.8 | 1.2~1.8 |
2.卵巢及输卵管卵巢多位于子宫体部两侧外上方,但有较多变异,后倾位的子宫,两侧卵巢位于宫底上方。正常位置的卵巢其后外侧可显示同侧的输尿管和骼内血管,可作为卵巢定位的标志,正常卵巢断面声象图呈杏仁形,其内部回声强度略高于子宫,成年妇女的卵巢其大小约4×3×1cm。生育期妇女,其大小随月经周期而有变化。双侧输卵管自子宫底部蜿蜒伸展呈强回声边缘的管状结构,其内径小于5mm,一般较难显示。
二、妇科疾病USG诊断
USG在妇科领域,尤其对盆腔肿块的诊断,应用广泛。子宫、卵匀有良好的声学界面,在病变增殖、肿大时,多含有液体或有包膜,界面清晰。易从声象图上分辨,借以判断盆腔肿块的有无,肿物来自子宫抑或附件以及有无恶变。
从盆骨肿块的声象的声象图可以获得以下信息:
1.确定肿块的物理性质 ①液性肿块;边缘轮廓清晰,透声良好,内部呈无回声暗区,有时可见条状分隔光带,肿块后方回声增强,侧边声影内收;②实质性肿块;边缘轮廓清楚或不规则。内部光点散在、稀疏、分布均匀时,为实质均质性肿块。光点强弱不一,形态多样,大小不等,混有光团,分布较密而不均匀时,为实质非均质性肿块;③混合性肿块:肿块轮廓不规则,内部呈液性暗区和实质性成分,在肿块的不同部位透声性能不一(图4-5-4)。



图4-5-4 盆腔肿块声象示意图
2.测量肿块的大小,了解其部位,对较大的肿块可用手推动,以观察肿块与周围组织的关系,有无粘连或浸润固定。
3.从切面上观察肿块的形状,边缘是否规则和清楚。
4.肿块的透声是否良好,有无衰减和声影。
5.如为囊性肿块,可观察囊壁的厚度,边界光滑整齐或凹凸不平,内部有无囊壁分隔,囊液内有无飘浮的细弱光点,对较大的囊性肿块亦可采用加压方法,了解其张力,有无变形。
6.了解肿块与子宫的毗邻关系,有无融合连续,以鉴别肿块来自子宫或附件。子宫直肠窝为卵巢癌.盆腔脓肿、积液的好发部位。子宫前方为卵巢良性畸胎瘤、囊肿好发部位。两侧附件区,宫底上方为卵巢良性肿瘤、囊性畸胎瘤好发部位。
7.有时直肠粪块可与输卵管肿块、子宫直肠窝炎性包块混淆,必要时可在清洁灌肠,排便后复查,粪块局部无触痛,移动度大,实时超声可看到肠蠕动。
USG对子宫肌瘤、子宫腺肌病、子宫内膜癌、子宫畸形、卵巢囊性肿瘤、卵巢实质性肿瘤和盆腔炎性肿块有诊断价值。举几个疾病加以介绍。
(一)子宫肌瘤 子宫肌瘤声象图表现主要与肌瘤的位置、大小和有无继发变性等因素有关。其主要表现为:①子宫增大或出现局限性隆起,致子宫断面形异常,轮廓线不规则;②肌瘤结节部一般呈圆形低回声或等回声区,有时则呈分布不均的强回声作区。等回声结节周围常可见假包膜所形成的低回声晕圈,肌瘤结节内无继发变性时回声较均匀,以低回声最为多见。一般肌瘤衰减不甚明是,肌瘤后面的子宫回声常较清楚,但当探查到肌纤维排列紊乱,几何形态复杂而又较大的肌瘤时,衰减可变得明显,致肌瘤后面子宫图像模糊不清;③子宫内膜回声的移位与变形,肌壁间瘤结节可压迫和推挤宫腔,使宫腔内膜回声移位或变形,粘膜下肌瘤则表现为子宫内膜回声增强、增宽或显示圆形的瘤体结构;④膀胱压迹与变形,大的肌瘤,特别是浆膜下肌瘤,可明显地使膀胱移位、变形和引起尿潴留等表现。
从声象图改变可确定肌瘤为单发名多发,后者可显示宫轮廓线有多处隆起,断面形态不规则,内部回声强弱不均或出现各种继发变性的征象。在瘤体结节内出现局限性强回声区主要为脂肪变性和钙化所致。后者可显示声影。当肌瘤有玻璃样变组织液化为假性囊肿,在声象图上则出现圆形无回声区,边界清晰,后方回声增强,经阴道内腔USG对1cm以下的粘膜肌瘤亦可发现。
(二)子宫畸形 根据声象图上子宫小、纵横断面上均不能发现子宫,可诊断幼稚子宫和先天性无子宫。根据子宫外形的异常可诊断双子宫、双角子宫和单角子宫等。
(三)卵巢囊性肿物 卵巢囊性肿物包括非肿瘤性和瘤性两类;前者包括滤泡囊肿、黄体囊肿、黄素囊肿、多囊卵巢和卵巢子宫内膜异位囊肿;后者主要包括浆液性和粘液性囊腺瘤(癌)和皮样囊肿。
卵巢囊肿声象图上多表现为圆形无回声暗区,边缘清晰光滑。大小、数目依不同病变而异。滤泡囊肿和黄体囊肿常单发,突出于卵巢表面,随访观察,可自行缩小或消失。多囊卵巢则两侧卵巢增大,内有多个无回声暗区。卵巢子宫内膜异位囊肿由于血液的机化和纤维素沉积,在无回声暗区可出现不均匀回声。
浆液性与液性囊腺廇(癌)均表现为无回声暗区。前者壁薄,后者壁厚,且可有散在细小光点回声和多房性间隔光带。若囊内有乳头状结构,则可见光团或光斑向囊内突入。如为癌,则肿块形状不整,囊壁厚薄不一,表面不光滑,内部有散在浮动光点和光团。
囊性畸胎瘤(皮样囊肿)在声象图上可见液性暗区内明显的强光点、光团,并伴有衰减或声影(图1-4-3)。
浆液性、粘液性卵巢囊肿及卵巢皮样囊肿三者占卵巢肿瘤中的90%以上,在声象图上表现均为液性无回声区,其鉴别点见表4-5-2。
表4-5-2 浆液性、粘液性和皮样囊肿USG鉴别诊断
| 浆液性襄肿 | 粘液性囊肿 | 皮样囊肿 | |
| 大小 | 中等或偏大 | 大或巨大 | 中等大 |
| 内部回声 | 单纯液性无回声区 | 无回声区内有细弱光点 | 强弱不等的细小光点 |
| 单、多房 | 单(多)房性 | 多房性间隔 | 单房性 |
| 囊壁回声 | 薄 | 厚 | 厚 |
| 单、双侧 | 双侧 | 单侧 | 单侧 |
(四)卵巢实质性肿瘤 卵巢实质性肿瘤较卵巢囊性肿瘤少见,USG可表现为均质性强回声和均匀性低回声,前者有纤维瘤、腺纤维瘤等,后者有肉瘤、卵泡腺瘤等。实质非均质性有腺癌,实质性畸胎瘤,当各种实质性肿瘤有出血、坏死时可表现为混合性图像。良性实质性肿瘤图像表现为肿瘤形态规则,轮廓清晰,边缘光滑完整,内部回声为分布均匀的散在细小光点;均质性透声性良好者可有后方回声轻度增强效应。恶性实质性肿瘤则形态多不规则,轮廓模糊,边缘回声不整,厚薄不均,内部回声强弱不均,呈杂乱光点或融合性光团,后方回声无增强效应或有轻度衰减。
(五)盆腔炎性肿块 早期声象图上一般无特殊表现或仅表现子宫边界模糊,附件部呈实质不均质性肿块,边界不清。当有输卵管积脓或积水或有盆腔脓肿形成时,则表现为大小不等的圆形无回声区或呈单个腊肠形无回声区,常有周围肠管粘边,边界不规则或不清楚。
三、产科疾病USG诊断
USG诊断在产科领域的应用极为广泛,可自妊娠至分娩前各时期进行周密观察,揭示宫内胚胎的发育,一般闭经后第5周即可显示妊娠囊图像。且获得胎心、胎动的资料早,这不仅是确诊妊娠的依据,并能鉴别胎儿是否存活。同时通过某些参数的观测可提供胎儿生长、发育的资料,对某些先天畸形、胎盘位置异常等可作出诊断。羊水穿刺时超声定位也安全可靠。USG方法简便易行,提供结果迅速,对母婴均无损害,因而,在许多方面已代替其他影像诊断方法。
(一)早期妊娠 妊娠早期,声象图上可见子宫增大,于子宫底部附近显示一圆形光环,即孕囊回声,囊壁完整,厚度均匀,回声强度一致,囊内呈液性无回声区。以后,孕囊迅速增大。
在孕囊的无回区中可见犹如豆芽状的光带,即为胚芽。第6周末,在孕囊内胚芽的部分光点可见有节律的跳动,为原始心管的搏动。第12~ 13周时,羊膜囊充满整个子宫腔而与子宫壁重合,逐渐缺少清晰的孕囊边界。
妊娠早期的胎盘为半月形光点区,附着在孕囊的侧壁上,最早在妊娠第9周显示,其光点的亮度强于子宫肌层。胎头光环在妊娠12周显示(图1-4-3)。
定期连续测量孕囊的大小以及胎儿的有关结构,如头臀长度、胎头双顶径、股骨长度等,可了解胎儿的生长发育情况和估计孕龄。
(二)流产和死胎 流产的声象图表现为:①孕囊皱缩,边缘不规则或不完整;②孕囊下移至子宫下端或宫颈部;③随访中,子宫或孕囊不增大。USG检查相隔1周末见孕囊增大,头臀长度增长或逐渐显示孕囊的凹陷,胎心胎动消失则为宫内死胎。孕14周以后,如胎儿死于宫内,除胎心搏动与胎动消失外,还可以观察到胎头、胎儿胸腹部皮肤、皮下组织呈双线状回声,或同心圆改变。胎儿颅骨可见重叠、变形,脊柱弯曲过度可呈直角。
(三)葡萄胎 声象图表现为:①子宫增大;②宫腔内充满密集不均匀性光点及蜂窝状暗区或间有弥漫、明亮的粗大光斑,形如落雪状;③宫腔内无胎儿结构,无胎心搏动,无胎动;④子宫两侧可见圆形或椭圆形无回声区,其内可有间隔状光带,壁薄且光滑。此为合并卵巢黄素囊肿图像,葡萄胎患者中25%~60%有黄素囊肿。
(四)异位妊娠 USG对异位妊娠的诊断主要依据是有闭经史的早孕妇女,宫内无孕囊回声;子宫周围有边界模糊的混合型肿块;子宫直肠窝内显示无回声区。
(五)多胎妊娠 多胎妊娠中,以双胎最多见,其声象图表现为:①子宫大于同期妊娠周数;②妊娠早期,宫腔内见到两个妊娠襄囊,一般可诊断为双胎,但也有可能仅其中一个发育成长,故不能过早依据孕囊数确定胎儿数,需随访观察;③中期妊娠时,常可在同一帧声象图上显示两个胎头或两胎儿躯干,连续扫查可观察到两个完整的胎儿图像,并可见各自的胎心,两个胎心的搏动频率不同;④多数可见两羊膜囊间的中隔呈一漂浮的条状光带回声;⑤单卵双胎常有一个大的胎盘,双卵双胎可显示有两个胎盘附着子宫壁上。
USG对胎位的判断也有重要价值。
(六)胎儿畸形 USG对胎儿畸形的诊断有重要价值。
羊水过多伴发的胎儿畸形:中枢神经系统畸形最为多见,约占45%。其中以无脑儿及脊柱裂最常见。在孕10~12周时USG如不能见到完整胎头光环或即使看到胎儿眼眶,颞骨和枕骨,但其头端无正常骨结构时,可提示为无脑儿。
正常胎儿脊柱在16~17周时USG便能清晰显示,脊柱裂时,两排串珠样脊柱强回声于某处排列失常,间距增大及缺失,局部皮肤光带断离;脊回声中断处可见囊性膨出物,其壁光滑而薄,内呈液性暗区,为脊膜膨出。脑膜膨出USG所见主要是在胎头的枕或额部,自颅向外突出一囊状物,内充满液体或脑组织。
胃肠畸形:约占30%,胃肠道高位闭锁,USG可见肠腔明显充液,且其外形很少改变。十二指肠闭锁时,可见胎儿上腹部并列有二个液性无回声区,胃泡一般较大,且处于左侧一边。回、空肠闭锁时,腹部可见较多的充液肠段。
羊水过少伴发的胎儿畸形:肾缺如:孕17~22周时90%胎儿在脊柱两侧可发现胎肾,在孕20周后大多数胎儿在骨盆内可见到膀胱无回区,持续观察1~1.5小时膀胱区可见充盈和排空现象,说明胎肾的功能正常。若系肾缺如则二者均不显示。
多囊肾:在胎儿肾区可见多个大小不等的无回声区,代替了正常肾实质。
尿道闭锁;USG可见一大而张的膀胱、肾及输尿管积水。
(七)胎盘异常 胎盘形态的观察及对胎盘成熟度的分级:胎盘声象图随胎龄的增长而有变化,妊娠第8周前,子宫断面上可孕囊部分增厚突起,妊娠第10~12周即可清晰显示具有特征性的光点状回声,约在妊娠第18周,由绒毛膜变成显而易见的胎盘,而出现一种特殊的回声结构。
根据图象上胎盘的回声结构,可对其成熟程度进行分级。
前置胎盘:由于胎盘具有特有的回声结构,故易于识别并确定其附着的部位。正常胎盘附着在子宫前壁、后壁或侧壁,其下缘离子宫内口尚有一段距离。在确定有无前置胎盘时需适度充盈膀胱,观察胎盘缘与子宫内口之间的关系,当胎盘下缘达子宫颈内口边缘处时,为边缘性前置胎盘;子宫颈内口有部分胎盘覆盖时,为部分性前置胎盘;子宫颈内口完全被胎盘所覆盖时为中央性或完全性前置胎盘(图1-4-3)。
胎盘早期剥离:胎盘的正常位置,在胎儿娩出前,部分或全部与子宫发生分离,为胎盘早期剥离,是妊娠晚期阴道出血主要原因之一。其声象图表现为:①胎盘与子宫壁之间出现不规则的液性无回声区,其内亦可有少许光点回声,是为胎盘后血肿;②剥离处的胎盘增厚,向羊膜腔内膨出。严重胎盘早剥,多伴有胎儿死亡、胎动与胎心搏动消失。没有形成血肿的胎盘早剥,期胎盘声象图可无明显变化。
USG在产科领域,诸台对胎儿行为状态的观察(胎动、胎儿呼吸、胎心搏动等),胎儿成熟度的多参数计测以及在围生期医学中均有着极为广阔的应用前景。
第三节 CT与MRI诊断
女性生殖系统由于周围有丰富的脂肪组织,位居盆腔深部而受呼吸运动的影响小,故适于CT检查。由于X线对生殖器官的影响,对年轻患者慎用。USG检查是女性生殖系统的首选检查方法,但如有技术困难或未能明确诊断时,可使用CT检查。
盆腔CT检查主要用于检查盆腔肿块,确定肿块的起源和性质,尤其是区分实性与囊性肿物;了解肿物同周围组织关系;对恶性肿瘤还可判断其发展和转移情况,例如有无盆腔淋巴结转移,盆腔软组织是否受侵,腹膜有无转移以及有无骨转移等。
女性盆腔CT检查需作准备。检查前口服1.5%泛影葡胺充盈小肠和结肠,并经直肠注入造影剂充盈直肠和乙状结肠。多饮水,以使膀胱盈。已婚妇女应阴道内放置纱布卷(低密度并含气),以便易于识别。先行平扫,再行增强扫描。
子宫体在CT上易于识别,显示为横置的密度较高的梭形影像,CT值40~80Hu,宫体中央密度可略低。子宫大小受年龄和生理状态的影响,一般成人前后径为1.5~3cm,左右径为3~5cm,老年人子宫较小。膀胱充盈程度也影响子宫的大小。子宫前方为膀胱,呈液性低密度;后方为直肠,内常有气体。膀胱、子宫、直肠之间常有肠袢存在。宫颈在宫体下方层面,呈卵圆形软组织影。卵巢位于子宫侧壁和臼内壁之间,正常大小时CT常不见。增强扫描,子宫密度均匀增加,膀胱内造影剂为高密度,盆腔内血管输尿管显示为高密度,易于识别(图4-5-5)。

图4-5-5 女性盆腔正常CT表现
子宫呈横行的梭形软组织影(↓),其前方为膀胱(B)
其后方、骶骨之前为直肠(R)
女性生殖系统很适于作MRI检查。常用自旋回波得T1和T2WI。作横断面、矢状面和冠状面成像。阴道在矢状面观察最好、膀胱内的尿液和直肠内气体为显示阴道提供了对比。在T1WI上阴道显示为较低信号,T2WI则信号稍高。子宫颈在矢状和横断面上显示较好。呈中等强度信号,其内的粘膜呈线状高信号。生育期妇女子宫体在矢状和横断面显示最好,在T1WI显示为中等信号,在T2WI宫体可分三种信号:肌层显示中等信号;内膜及宫腔粘液为高信号;两者之间有一薄而较低信号的中间层。在子宫前方,膀胱内尿液在T1WI上表现为低信号;T2WI上尿液为高信号;膀胱壁则为较低信号。卵巢在半数病例可以见到,在T1WI上为中等信号,与周围脂肪可以区分(图4-5-6)。


图4-5-6 女性骨盆正常MRI表现
T1WI矢状面,子宫肌层为中等信号强度(↓)子宫内膜为稍低信号强度(▽),膀胱内尿液为极低信号强度(↓)T2WI矢状面,子宫肌层信号降低(↓),子宫内膜信号增强(↓),膀胱内尿液信号明显增强(↓)
(一)子宫肌瘤CT表现为子宫增大,有时可见肿块向外隆突或呈分叶状。肌瘤密度可等于或低于正常子宫。如出现瘤内钙化则可确诊为子宫肌瘤。子宫肌瘤在T1WI上表现为均匀的中等强度信号,略低于正常子宫肌层,但难以区分;T2WI上则肌瘤信号高于子宫肌层,易于识别。瘤内钙化表现为低信号。坏死区在T1WI上为低信号,T2WI上为高信号(图4-5-7)。


图4-5-7 子宫肌瘤MRI
T1WI横切面,子宫肌瘤表现为中等强度信号,轮廓光滑整齐(↓),压迫膀胱左后壁(↓)
B、T2WI子宫肌瘤信号稍低且不均匀(↓),膀胱内尿液成为极强信号(↓)
(二)子宫癌 宫体癌初时子宫并不增大,癌的密度与正常子宫相等,CT平扫不能发现。增强扫描子宫增强而癌瘤不增强。其后子宫增大,可表现为不规则肿块隆突,瘤内坏死表现为低密度区。如肿瘤向宫旁、膀胱或直肠延伸,可见宫旁脂肪层消失,子宫轮廓模糊,有软组织影向膀胱、直肠、宫旁组织甚至盆壁浸润。淋巴结大于1.5cm可认为有淋巴结的转移。
宫颈癌时CT见宫颈增大,或呈不规则的软组织块。CT检查子宫癌主要在于了解肿瘤向宫外侵犯的范围,有助于癌瘤的分期。
宫体癌在T1WI上表现为略低信号的肿块,T2WI上表现为高信号。
宫颈癌的T1值与正常子宫无大差别,因而在T1WI上难以识别。如癌瘤使宫颈增大、变形,成肿块状,才可以在T1WI上见到。注造影剂后,宫颈癌信号明显增强。T2WI对确认宫颈癌最好,它表现为信号增强的肿块,宫颈管增宽,正常分层消失。矢状面易于观察肿瘤是否侵犯周围组织。
(三)卵巢囊肿或肿瘤 单纯的卵巢囊肿,大多是潴留囊肿,常较小,CT易于显示。表现为囊性低密度影,CT值接近水,边界光滑整齐,大小常为数厘米(图4-5-8)。囊性畸瘤表现为密度不均的低密度肿块,内含多种组织如脂肪、钙化、牙或骨组织。皮样囊肿,其壁常有钙化。卵巢囊腺瘤常较大。浆液性囊腺瘤可为单房性或多房性,壁较薄,少数可为双侧性。粘液性囊腺瘤壁较厚,常为多房性。它们的CT值约为15Hu,增强扫描其壁和囊均不增强。卵巢恶性肿瘤表现为盆腔或下腹部肿块,呈软组织密度,CT值40~50Hu,肿瘤大多同时具有实性和囊性部分,边缘不规则,这些有别于良性囊腺瘤和单纯性囊肿,增强扫描实体部分有增强。卵巢癌可产生腹水,其CT值偏高,可达60Hu,30%的病例可见腹膜或大网膜转移,表现为前腹壁后方扁平形软组织肿块,密度不均,境界不清。有时可见腹膜、腹腔内及肠壁间结节肿块。CT检查了解卵巢癌的范围和转移情况比判断原发癌更为重要。

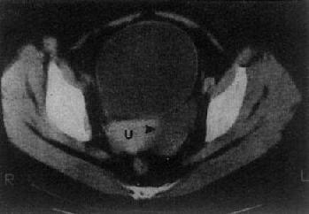
图4-5-8 卵巢囊肿
子宫(U)左侧有一长圆形低密度区(→),边界清楚,其CT值与膀胱CT值相似
MRI上,卵巢囊肿视其内容物成分,在T1WI上可为边界清楚的低信号、中或高信号区;T2WI上,囊肿信号强度明显增高。囊腺瘤主要包含多房性囊性肿瘤部分,有时还有实体部分,T1WI上见中等偏低信号,T2WI信号强度增高。卵巢畸胎瘤以含有较多脂肪为特征,不论T1WI还是T2WI其信号强度都能与脂肪相当,即T1WI呈极高信号,T2WI信号只稍减弱,钙化与毛发等则呈低信号。卵巢癌显示为轮廓不规则肿块。T1WI上肿块呈中等信号,介于液体与肌肉信号之间。T2WI上,其液性部分信号强度明显增高,实体部分只稍增高。坏死区则信号强度不均匀。大网膜和(或)腹膜转移表现为增厚及信号稍低而不均匀(低于脂肪的信号)。最近资料认为,以优良的MRI机与CT机为基本条件,对判断子宫癌的范围,MRI略优于CT;对判断卵巢癌尤其是腹膜转移CT略优于MRI;对判断淋巴结转移,两者大致相同。
全部讨论(0)
请在登录后参与讨论...