CT是Hounsfield 1969年设计成功,1972年公诸于世的。CT不同于X线成像,它是用X线束对人体层面进行扫描,取得信息,经计算机处理而获得的重建图像。所显示的是断面解剖图像,其密度分辨力明显优于X线图像。从而显着扩大了人体的检查范围,提高了病变的检出率和诊断的准确率。CT也大大促进了医学影像学的发展。由于这一贡献,Hounsfield获得了1979年的诺贝尔奖金。
第一节 CT的成像基本原理与设备
一、CT的成像基本原理
CT是用X线束对人体某部一定厚度的层面进行扫描,由探测器接收透过该层面的X线,转变为可见光后,由光电转换变为电信号,再经模拟/数字转换器(analog/digital converter)转为数字,输入计算机处理。图像形成的处理有如对选定层面分成若干个体积相同的长方体,称之为体素(voxel),见图1-2-1。扫描所得信息经计算而获得每个体素的X线衰减系数或吸收系数,再排列成矩阵,即数字矩阵

图1-2-1 扫描层面体素及象素
(digital matrix),见图1-2-2。数字矩阵可存贮于磁盘或光盘中。经数字/模拟转换器(digital/analog converter)把数字矩阵中的每个数字转为由黑到白不等灰度的小方块,即象素(pixel),并按矩阵排列,即构成CT图像。所以,CT图像是重建图象。每个体素的X线吸收系数可以通过不同的数学方法算出。

图1-2-2 数字矩阵
二、CT设备
CT设备主要有以下三部分:①扫描部分由X线管、探测器和扫描架组成;②计算机系统,将扫描收集到的信息数据进行贮存运算;③图像显示和存储系统,将经计算机处理、重建的图像显示在电视屏上或用多幅照相机或激光照相机将图像摄下。CT成像流程如图1-2-3。

图1-2-3 CT装置示意图
扫描部分如图1-2-4及图1-2-5所示的几种不同扫描方式。探测器从原始的1个发展到现在的多达4800个。扫描方式也从平移/旋转、旋转/旋转、旋转/固定,发展到新近开发的螺旋CT扫描(spiralCt scan)。计算机容量大、运算快,可达到立即重建图像。由于扫描时间短,可避免运动,例如,呼吸运动的干扰,可提高图像质量;层面是连续的,所以不致于漏掉病变,而且可行三维重建,注射造影剂作血管造影可得CT血管造影(Ct angiography,CTA)。超高速CT扫描所用扫描方式与前者完全不同(图1-2-5)。扫描时间可短到40ms以下,每秒可获得多帧图像。由于扫描时间很短,可摄得电影图像,能避免运动所造成的伪影,因此,适用于心血管造影检查以及小儿和急性创伤等不能很好的合作的患者检查。

图1-2-4 不同的扫描方式(I)

图1-2-5 不同的扫描方式(II)
第二节 CT图像特点
CT图像是由一定数目由黑到白不同灰度的象素按矩阵排列所构成。这些象素反映的是相应体素的X线吸收系数。不同CT装置所得图像的象素大小及数目不同。大小可以是1.0×1.0mm,0.5×0.5mm不等;数目可以是256×256,即65536个,或512×512,即262144个不等。显然,象素越小,数目越多,构成图像越细致,即空间分辨力(spatialresolution)高。CT图像的空间分辨力不如X线图像高。
CT图像是以不同的灰度来表示,反映器官和组织对X线的吸收程度。因此,与X线图像所示的黑白影像一样,黑影表示低吸收区,即低密度区,如肺部;白影表示高吸收区,即高密度区,如骨骼。但是CT与X线图像相比,CT的密度分辨力高,即有高的密度分辨力(density resolutiln)。因此,人体软组织的密度差别虽小,吸收系数虽多接近于水,也能形成对比而成像。这是CT的突出优点。所以,CT可以更好地显示由软组织构成的器官,如脑、脊髓、纵隔、肺、肝、胆、胰以及盆部器官等,并在良好的解剖图像背景上显示出病变的影像。
x 线图像可反映正常与病变组织的密度,如高密度和低密度,但没有量的概念。CT图像不仅以不同灰度显示其密度的高低,还可用组织对X线的吸收系数说明其密度高低的程度,具有一个量的概念。实际工作中,不用吸收系数,而换算成CT值,用CT值说明密度。单位为Hu(Hounsfield unit)。
水的吸收系数为10,CT值定为0Hu,人体中密度最高的骨皮质吸收系数最高,CT值定为+1000Hu,而空气密度最低,定为-1000Hu。人体中密度不同和各种组织的CT值则居于-1000Hu到+1000Hu的2000个分度之间(表1-2-1)。

表1-2-1 体组织CT值(Hu)
由表1-2-1可见人体软组织的CT值多与水相近,但由于CT有高的密度分辨力,所以密度差别虽小,也可形成对比而显影。
CT值的使用,使在描述某一组织影像的密度时,不仅可用高密度或低密度形容,且可用它们的CT值平说明密度高低的程度。
CT图像是层面图像,常用的是横断面。为了显示整个器官,需要多个连续的层面图像。通过CT设备上图像的重建程序的使用,还可重建冠状面和矢状面的层面图像。
第三节 CT检查技术
患者卧于检查床上,摆好位置,选好层面厚度与扫描范围,并使扫描部位伸入扫描架的孔内,即可进行扫描。大都用横断面扫描,层厚用5或10mm,特殊需要可选用薄层,如2mm。患者要不动,胸、腹部扫描要停止呼吸。因为轻微的移动或活动可造成伪影,影响图像质量。
CT检查分平扫(plainCT scan)、造影增强扫描(contrast enhancement,CE)和造影扫描。
(一)平扫 是指不用造影增强或造影的普通扫描。一般都是先作平扫。
(二)造影增强扫描 是经静脉注入水溶性有机碘剂,如60%~76%泛影葡胺60ml后再行扫描的方法。血内碘浓度增高后,器官与病变内碘的浓度可产生差别,形成密度差,可能使病变显影更为清楚。方法分团注法、静滴法和静注与静滴法几种。
(三)造影扫描 是先作器官或结构的造影,然后再行扫描的方法。例如向脑池内注入碘曲仑8~10ml或注入空气4~6ml行脑池造影再行扫描,称之为脑池造影CT扫描,可清楚显示脑池及其中的小肿瘤。
第四节 CT分析与诊断
在观察分析时,应先了解扫描的技术条件,是平扫还是增强扫描,再对每帧CT图像进行观察。结合一系列多帧图像的观察,可立体地了解器官大小、形状和器官间的解剖关系。病变在良好的解剖背景上显影是CT的特点,也是诊断的主要根据,大凡病变够大并同邻近组织有足够的密度差,即可显影。根据病变密度高于、低于或等于所在器官的密度而分为高密度、低密度或等密度病变。如果密度不均,有高有低,则为混杂密度病变。发现病变要分析病变的位置、大小、形状、数目和边缘,还可测定CT值以了解其密度的高低。如行造影增强扫描,则应分析病变有无密度上的变化,即有无强化。如病变密度不增高,则为不强化;密度增高,则为强化。强化程度不同,形式亦异,可以是均匀强化或不均匀强化或不均匀强化或只病变周边强化,即环状强化。对强化区行CT值测量,并与平扫的CT值比较,可了解强化的程度。此外,还要观察邻近器官和组织的受压、移位和浸润、破坏等。
综合分析器官大小、形状的变化,病变的表现以及邻近器官受累情况,就有可能对病变的位置、大小与数目、范围以及病理性质作出判断。和其他成像技术一样,还需要与临床资料结合,并同其他影像诊断综合分析。
CT在发现病变、确定病变位置及大小与数目方面是较敏感而可靠的,但对病理性质的诊断,也有一定的限制。
第五节 CT诊断的临床应用
CT诊断由于它的特殊诊断价值,已广泛应用于临床。但CT设备比较昂贵,检查费用偏高,某些部位的检查,诊断价值,尤其是定性诊断,还有一定限度,所以不宜将CT检查视为常规诊断手段,应在了解其优势的基础上,合理的选择应用。
CT诊断应用于各系统疾病有以下特点及优势,参考图1-2-6。
CT检查对中枢神经系统疾病的诊断价值较高,应用普遍。对颅内肿瘤、脓肿与肉芽肿、寄生虫病、外伤性血肿与脑损伤、脑梗塞与脑出血以及椎管内肿瘤与椎间盘脱出等病诊断效果好,诊断较为可靠。因此,脑的X线造影除脑血管造影仍用以诊断颅内动脉瘤、血管发育异常和脑血管闭塞以及了解脑瘤的供血动脉以外,其他如气脑、脑室造影等均已少用。螺旋CT扫描,可以获得比较精细和清晰的血管重建图像,即CTA,而且可以做到三维实时显示,有希望取代常规的脑血管造影。
CT对头颈部疾病的诊断也很有价值。例如,对眶内占位病变、鼻窦早期癌、中耳小胆指瘤、听骨破坏与脱位、内耳骨迷路的轻微破坏、耳先天发育异常以及鼻咽癌的早期发现等。但明显病变,X线平片已可确诊者则无需CT检查。

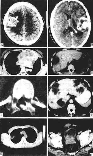
图1-2-6 CT图像
少支胶质细胞瘤增强,右额、顶叶有一较大不规则肿块,强化不均,周围有低密度水肿区
星形细胞瘤 增强,左额顶叶有一不均匀强化肿块,不规则,内有未有强化的低密度区,周围有低密度水肿区,中线结构右移
胸腺增生 平扫,胸腺区有一分叶状密度均一病灶,仍呈胸腺状,主动脉受压右移
肝脓肿 平扫,肝右叶有一低密度灶类圆形,中心部密度更低为脓腔,周边为脓肿壁呈“双边征”
腰椎骨折 平扫,椎弓多处中断,椎管变形,其内可见碎骨片
肝转移癌 增强,肝左、右叶多个大小不一、不规则低密度灶,周边有细的强化环围绕
肺脓肿 平扫,右上叶有一空洞性病灶,内壁光滑,并见气液平面,胸部X线片曾疑肺癌
前裂腺癌 平扫,前列腺分叶状增大,并向膀胱内突入
对胸部疾病的诊断,CT检查随着高分辨力CT的应用,日益显示出它的优越性。通常采用造影增强扫描以明确纵隔和肺门有无肿块或淋巴结增大、支气管有无狭窄或阻塞,对原发和转移性纵隔肿瘤、淋巴结结核、中心型肺癌等的诊断,均很在帮助。肺内间质、实质性病变也可以得到较好的显示。CT对平片检查较难显示的部分,例如同心、大血管重迭病变的显圾,更具有优越性。对胸膜、膈、胸壁病变,也可清楚显示。
心及大血管的CT检查,尤其是后者,具有重要意义。心脏方面主要是心包病变的诊断。心腔及心壁的显示。由于扫描时间一般长于心动周期,影响图像的清晰度,诊断价值有限。但冠状动脉和心瓣膜的钙化、大血管壁的钙化及动脉瘤改变等,CT检查可以很好显示。
腹部及盆部疾病的CT检查,应用日益广泛,主要用于肝、胆、胰、脾,腹膜腔及腹膜后间隙以及泌尿和生殖系统的疾病诊断。尤其是占位性病变、炎症性和外伤性病变等。胃肠病变向腔外侵犯以及邻近和远处转移等,CT检查也有很大价值。当然,胃肠管腔内病变情况主要仍依赖于钡剂造影和内镜检查及病理活检。
骨关节疾病,多数情况可通过简便、经济的常规X线检查确诊,因此使用CT检查相对较少。
全部讨论(0)
请在登录后参与讨论...